Centro de Urgencias Médicas en New York lanza campaña publicitaria en su 5to Aniversario

NUEVA YORK - El Centro de Urgencias Médicas, en la celebración de su Quinto Aniversario, pone en marcha una nueva campaña de publicidad, con...

Santiago Rodríguez recibe nuevo hospital

SANTIAGO RODRÍGUEZ - Los munícipes de esta provincia recibieron con alegría el nuevo Hospital General Santiago Rodríguez, ascendiendo a 23 el número de centros de...

Muerte infantil en República Dominicana experimenta aumento interanual de un 31,9 %

En cuanto a las muertes maternas, y tras el fallecimiento de una mujer 35 años de edad en periodo de puerperio, en lo que...

Presidente Medina inaugura el remozado hospital Dr. Francisco Moscoso Puello

SANTO DOMINGO - El presidente Danilo Medina entregó la tarde de este jueves el ampliado, remodelado y equipado hospital Dr. Francisco Moscoso Puello, a...

Contaminación por descontrol en vertedero Duquesa afecta al Gran Santo Domingo

SANTO DOMINGO (D.N.), REPÚBLICA DOMINICANA.- Neblina se apodera de los cielos a primeras de este martes en distintos sectores del Distrito Nacional, afectados de...

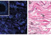
Intersticio, el «nuevo órgano» del cuerpo humano que la ciencia acaba de descubrir

Solo la tecnología más avanzada le acaba de permitir a los científicos ver algo que siempre estuvo ahí: un espacio intersticial "no identificado" hasta...

¿Qué es la difteria?

En las últimas horas el término “Difteria”, resuena y ha causado en el país tras conocerse el caso de un niño de 4 años...

¿Cuán pura es el agua embotellada? Científicos revelan una verdad preocupante

El agua embotellada analizada en un nuevo estudio contenía el doble de microplásticos que el agua del grifo. El agua envasada en botellas de plástico...

Simposio analiza cardiología pediátrica y cardiopatías congénitas

Santo Domingo (D.N.), República Dominicana.- La Sociedad Dominicana de Pediatría filial Santiago y la Fundación Corazones del Cibao celebraron el simposio “Actualización en cardiología pediátrica”,...

Se registra un brote sin precedentes de un virus mortal que no tiene cura

Desde que comenzó el año la enfermedad ya ha causado en Nigeria la muerte de 90 personas, incluidos varios profesionales de la salud. Una brote...